دانشنامه
هزینه ایمپلنت دندان در سال ۱۴۰۴ در کرج
آیا به دنبال بهترین قیمت ایمپلنت دندان در کرج با بالاترین کیفیت و ضمانت طولانی مدت هستید؟
در کلینیک دندانپزشکی تخصصی دکتر مسعودی، ما متعهد به ارائه درمانهای ایمپلنت دندان با استفاده از جدیدترین تکنولوژیها و معتبرترین برندهای جهانی هستیم تا لبخندی زیبا و دائمی را به شما هدیه دهیم. در این مقاله، به بررسی کامل هزینه ایمپلنت دندان در کرج در سال ۱۴۰۴ میپردازیم و عواملی که بر قیمت نهایی تأثیر میگذارند را برای شما شفافسازی میکنیم.
چرا ایمپلنت دندان بهترین انتخاب است؟
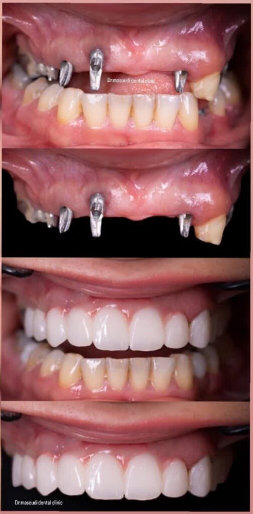
ایمپلنت دندان جایگزینی دائمی و عملکردی برای دندانهای از دست رفته است. برخلاف دندانهای مصنوعی متحرک، ایمپلنتها به طور ثابت در استخوان فک کاشته میشوند (فیکسچر) و مانند دندان طبیعی عمل میکنند. مزایای اصلی ایمپلنت عبارتند از:
زیبایی و طبیعی بودن: کاملاً شبیه دندانهای طبیعی شما به نظر میرسند.
بهبود جویدن و صحبت کردن: عملکردی مشابه دندانهای اصلی را باز میگردانند.
حفظ استخوان فک: از تحلیل رفتن استخوان فک پس از از دست دادن دندان جلوگیری میکنند.
ماندگاری بالا: با مراقبت صحیح، میتوانند برای تمام عمر باقی بمانند.
هزینه ایمپلنت دندان در کرج (سال ۱۴۰۴):
عیین یک قیمت ثابت برای ایمپلنت دندان امکانپذیر نیست، زیرا درمان هر فرد منحصر به فرد است. با این حال، بر اساس دادهها و تعرفههای رایج در سال ۱۴۰۴ در کلینیکهای معتبر کرج، میتوان یک بازه قیمتی را اعلام کرد.
به طور کلی، قیمت هر واحد ایمپلنت دندان (شامل فیکسچر و روکش) در کرج میتواند از حدود 21,۰۰۰,۰۰۰ تومان و بالاتر متغیر باشد.
این تفاوت قیمت عمدتاً به دلیل نوع برند ایمپلنت، جنس روکش (مانند زیرکونیا یا PFM) و نیاز به جراحیهای جانبی است که در ادامه به تفصیل بررسی میشوند.
عوامل کلیدی تأثیرگذار بر هزینه ایمپلنت در کلینیک دکتر مسعودی
ر کلینیک دکتر مسعودی، شفافیت در هزینهها اولویت ماست. هزینه نهایی ایمپلنت دندان شما بر اساس ۴ عامل اصلی تعیین میشود:
۱. برند و کشور سازنده ایمپلنت (فیکسچر)
فیکسچر یا پایه ایمپلنت، مهمترین بخش درمان است. برندهای مختلف، کیفیتها، ضمانتها و در نتیجه قیمتهای متفاوتی دارند. ما در کلینیک دکتر مسعودی از بهترین برندهای روز دنیا استفاده میکنیم.
۲. هزینه روکش دندان (پروتز)
روکش (تاج) بخش قابل مشاهده ایمپلنت است که زیبایی لبخند شما را تضمین میکند. روکشها اغلب از جنس سرامیک زیرکونیا (زیبایی و استحکام بالا) یا PFM (پرسلین ذوب شده بر روی فلز) هستند. روکش زیرکونیا به دلیل ظاهر طبیعیتر و استحکام بیشتر، معمولاً هزینه بالاتری دارد.
هزینه روکش ایمپلنت به تنهایی میتواند از حدود ۶,۵۰۰,۰۰۰ تومان تا ۲۵,۰۰۰,۰۰۰ تومان متغیر باشد.
۳. نیاز به جراحیهای جانبی (پیوند استخوان و سینوس لیفت)
در برخی بیماران، به دلیل تحلیل شدید استخوان فک، فضای کافی برای کاشت ایمپلنت وجود ندارد. در این شرایط، نیاز به جراحیهای تکمیلی زیر است که به هزینه کل اضافه میشوند:
پیوند استخوان (Bone Graft): استفاده از پودر استخوان برای افزایش حجم و ارتفاع استخوان فک.
سینوس لیفت (Sinus Lift): در فک بالا، برای افزایش ارتفاع استخوان زیر حفره سینوس.
۴. تجربه و تخصص دندانپزشک و تجهیزات کلینیک
مهارت متخصص ایمپلنت و استفاده از تجهیزات مدرن دیجیتال (مانند قالبگیری دیجیتال و جراحی با راهنمای کامپیوتری) نقش حیاتی در موفقیت طولانی مدت درمان دارد و میتواند بر قیمت نهایی تأثیر بگذارد. دکتر مسعودی به عنوان متخصص مجرب ایمپلنت در کرج، بالاترین استانداردهای درمانی را تضمین میکند.
ایمپلنت اقساطی در کرج: شرایط ویژه کلینیک دکتر مسعودی
ا درک میکنیم که هزینه ایمپلنت دندان میتواند یک چالش مالی باشد. به همین دلیل، کلینیک دندانپزشکی دکتر مسعودی شرایط پرداخت اقساطی ویژهای را برای مراجعین محترم در کرج فراهم کرده است تا بدون دغدغه مالی، به لبخندی که شایستهاش هستید دست یابید.
ایمپلنت اقساطی در کلینیک دندانپزشکی دکتر مسعودی هزینه را به طور معمول تا تحویل روکش از بیمار در سه فقره دریافت میکنند.
جهت اطلاع دقیق از جزئیات و شرایط ایمپلنت اقساطی در کرج، توصیه میکنیم با ما تماس بگیرید.
چرا باید کلینیک دکتر مسعودی را در کرج انتخاب کنید؟
ما درک میکنیم که انتخاب کلینیک دندانپزشکی برای ایمپلنت یک تصمیم بزرگ است. در کلینیک دکتر مسعودی، ما متعهد به ارائه تجربهای هستیم که نه تنها از نظر فنی عالی باشد، بلکه از نظر راحتی و مراقبت بیمار نیز بینظیر باشد:
تخصص و تجربه: انجام موفقیتآمیز صدها جراحی ایمپلنت توسط دکتر مسعودی و تیم متخصص ایشان.
تکنولوژی روز دنیا: استفاده از رادیوگرافی دیجیتال (CBCT) برای برنامهریزی دقیق جراحی و سیستمهای قالبگیری دیجیتال برای روکشها با حداکثر دقت.
گارانتی معتبر: ارائه گارانتی کتبی برای فیکسچرها و روکشهای ایمپلنت، بسته به برند انتخابی شما.
محیط آرام و استریل: رعایت بالاترین استانداردهای استریلیزاسیون و فراهم کردن محیطی آرام برای کاهش اضطراب بیماران.
شما میتوانید برای اطلاع بیشتر و در میانگذاشتن شرایط خود با متخصصین
کلینیک تخصصی ایمپلنت دکتر مسعودی در کرج با
۰۹۹۶۵۳۱۱۵۱۹
تماس بگیرید تا مشاورین ما بهترین راهحل را به شما پیشنهاد دهند.
مقایسه برندهای محبوب ایمپلنت: کدام برند برای شما مناسبتر است؟
انتخاب برند ایمپلنت یکی از مهمترین تصمیمات در طول درمان است که مستقیماً بر طول عمر، سازگاری زیستی و موفقیت درمان تأثیر میگذارد. در کلینیک دکتر مسعودی، ما مجموعهای از معتبرترین برندهای جهانی را برای اطمینان از بهترین نتایج ارائه میدهیم.
۱. ایمپلنتهای رده اقتصادی (کرهای) 🇰🇷
برندهای رایج: دنتیس (Dentis)، بایوتم (Osstem)، مگاژن (Megagen).
ویژگیها: این برندها در سالهای اخیر به پیشرفتهای چشمگیری دست یافتهاند و کیفیت قابل قبولی با قیمت اقتصادیتر ارائه میدهند. برای افرادی که محدودیت بودجه دارند اما به دنبال یک درمان مطمئن هستند، گزینهای عالی محسوب میشوند.
قیمت (سال ۱۴۰۴): در بازه پایینتر جدول قیمت قرار میگیرند.
۲. ایمپلنتهای رده میانی (اروپایی) 🇩🇪🇪🇺
برندهای رایج: بیوکانسپت (BioConcepts)، آیرس (IRIS)، بگو (BEGO).
ویژگیها: تعادل بسیار خوبی بین قیمت و کیفیت برقرار میکنند. دارای سوابق بالینی محکم، مواد اولیه باکیفیت و طراحیهای پیشرفتهتر سطح ایمپلنت هستند که به تسریع فرآیند جوش خوردن به استخوان (Osseointegration) کمک میکنند.
قیمت (سال ۱۴۰۴): در میانه بازه قیمتی قرار دارند.
۳. ایمپلنتهای رده بالا (سوئیسی و آمریکایی) 🇨🇭🇺🇸
برندهای رایج: اشترومن (Straumann)، نوبل بیوکر (Nobel Biocare)، زیمر بایومت (Zimmer Biomet).
ویژگیها: این برندها برترینهای صنعت ایمپلنت دندان محسوب میشوند. آنها پیشگام در تحقیقات، نوآوری در طراحی سطح ایمپلنت (مانند سطح SLA Active در اشترومن) و مواد با دوام بالا هستند. این برندها اغلب بالاترین نرخ موفقیت و در برخی موارد گارانتی مادامالعمر را ارائه میدهند.
قیمت (سال ۱۴۰۴): در بازه بالایی جدول قیمت قرار میگیرند و برای بیمارانی که به دنبال بهترین و ماندگارترین نتیجه هستند، توصیه میشوند.
نکات مهم در مورد مراحل پرداخت و قیمتگذاری
به یاد داشته باشید که هزینه ایمپلنت دندان معمولاً در چند مرحله پرداخت میشود تا فشار مالی کمتری به شما وارد شود:
مرحله اول (جراحی): پرداخت بخش عمده هزینه فیکسچر در زمان جراحی و کاشت پایه ایمپلنت.
مرحله دوم (ابوتمت و قالبگیری): پرداخت هزینه ساخت ابوتمت و روکش، معمولاً ۳ تا ۶ ماه پس از جراحی اولیه، زمانی که ایمپلنت با استخوان جوش خورده است.
هزینههای جانبی: هزینههای پیوند استخوان یا سینوس لیفت (در صورت نیاز) ممکن است در زمان جراحی اولیه دریافت شوند.
هدف ما این است که شما در هر مرحله از درمان، از جزئیات هزینه آگاه باشید و با شفافیت کامل، بهترین درمان را دریافت کنید.
جهت مشاوره مجازی و اطلاع از هزینه ها می توانید عکس OPG خود را به تلگرام، واتساپ یا ایتا به شماره تلفن
۰۹۹۶۵۳۱۱۵۱۹ ارسال نمایید.
برای اطلاعات بیشتر می توانید به صفحه ویکی پدیا مراجعه کنید.



